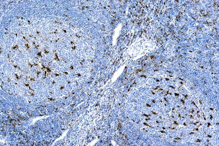
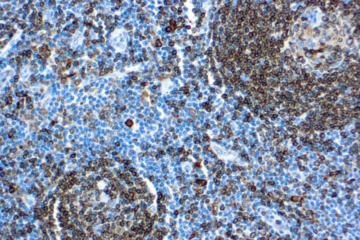
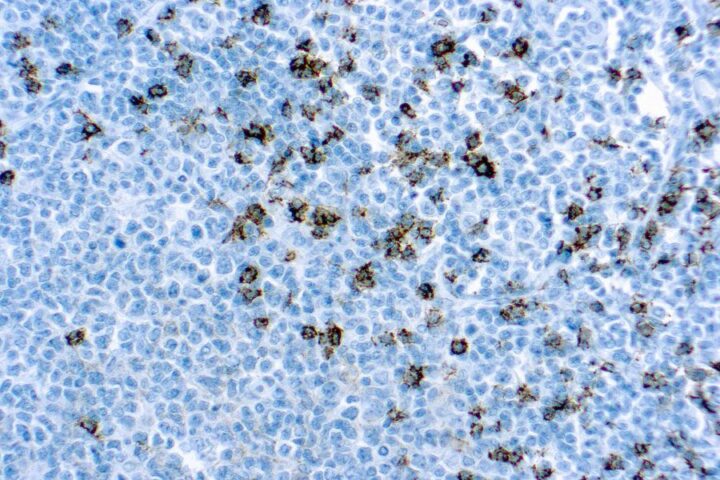
CD8, T Cell [144B] Antibody (cGMP).
SKU: QIVD255
Species: Human
Tested Applications: IHC [IVD]
Available Conjugates:
Isotype: Mouse IgG1, kappa
Species: Human
Tested Applications: IHC [IVD]
Available Conjugates:
Isotype: Mouse IgG1, kappa
